若是需要硬度更高的假牙,則會建議使用二氧化鋯所製成的全瓷冠,我們也會稱為「全鋯冠」。全鋯冠假牙也是全瓷冠的一種,同樣不含金屬成分,硬度卻是真牙的好幾倍以上,因此通常會安裝在負責咀嚼的後牙區。但全鋯冠的高硬度也造成顏色較無層次的缺點,不如全瓷冠可以有仿真牙般的透光晶瑩感,安裝在後牙區也比較不會影響到牙齒的美觀。而全瓷冠與全鋯冠之間,並沒有絕對的優劣之分,依照自己的需求做選擇才是最好的。

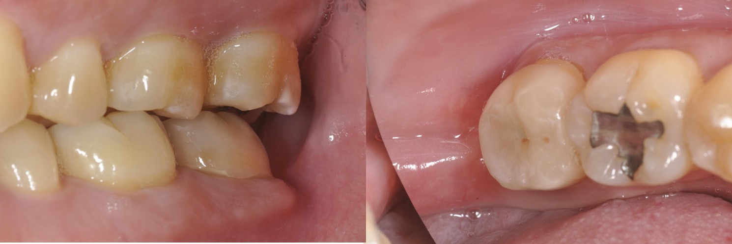
治療前,左下第二大臼齒疼痛

治療前,第二大臼齒有玻璃陶瓷全瓷冠

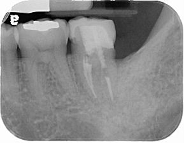
膺復前評估陶瓷斷裂處

上面弓、上咬合器

技師於咬合器製作全瓷冠

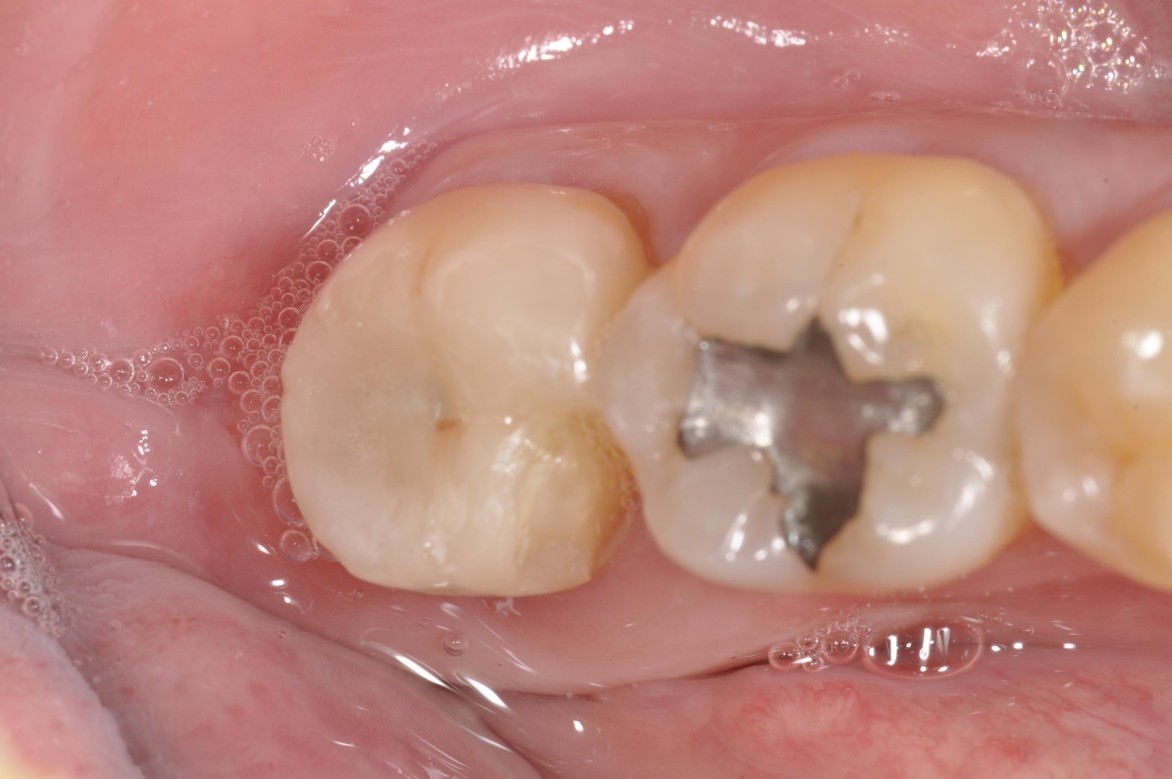
全鋯冠

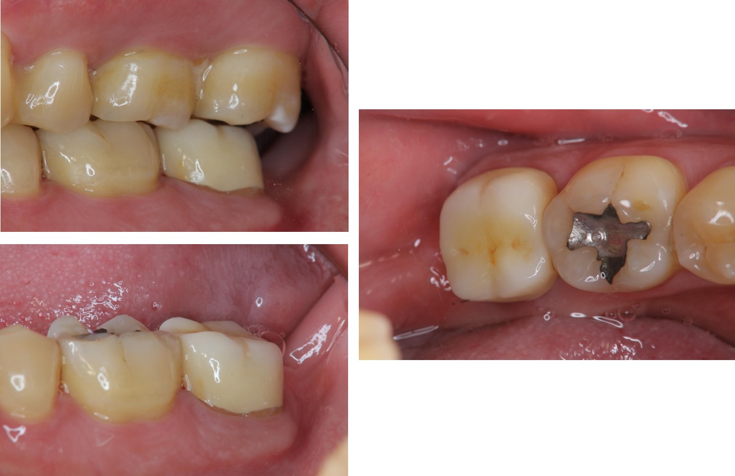
治療後,咬合良好

術前、術後比較

全瓷冠壽命長短其實受到許多因素影響,在理想的口腔照護與使用習慣下,一般能使用 10-15 年。若能做好口腔衛生並定期回診檢查,甚至可以延長使用壽命到 20 年以上。