拔牙後立即植牙(即拔即種)是指在拔牙的同一天,利用牙窩立即植入人工植體,這樣可以縮短治療時間,減少缺牙期,並保留牙槽骨的外形。 此方法並非適用於所有情況,需要患者的齒槽骨條件健康,無重大感染,並且有經驗的醫師進行精確評估,通常需要搭配補骨手術以確保植體穩定。
即拔即種的流程與好處
流程:
拔牙後,醫師會立即將人工植體植入拔牙產生的牙窩中,若牙窩空間不足,則會利用骨粉填補。
好處:
縮短療程:減少了拔牙後等待傷口癒合的時間,可大幅節省治療時間。
保留骨頭與牙齦:利用拔牙後的牙窩,減少了齒槽骨的吸收,有助於維持牙齦的形態。
減少手術次數:: 將拔牙和植牙合併進行,可減輕病患因多次手術帶來的不適和精神負擔。
注意事項與條件
嚴格的條件:
即拔即種手術門檻較高,需要患者的齒槽骨健康、牙周狀態良好、無重大感染,且牙窩與植體大小相符。
補骨手術的需求:
許多患者的骨頭條件不夠理想,需要合併補骨手術或使用引導組織再生膜來加強植體的穩定性。
醫師審慎評估:
並非所有拔牙情況都適合即拔即種,嚴重牙周病或骨頭破壞嚴重的案例,醫師可能會建議先等待傷口癒合穩定後再植牙。
後續癒合階段:
即拔即種完成後,仍需要依正常植牙流程,等待4至6個月讓骨頭與植體完全癒合後,才能進行第二階段手術,安裝假牙。

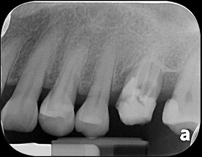
治療前,根管後大臼齒有牙裂

治療前,根管後第一大臼齒有牙裂

治療前,根管後大臼齒根部有蛀牙裂

拔牙前植牙規畫模擬

拔牙後再次植牙規畫模擬

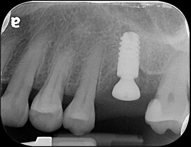
植牙、補骨及補骨

植牙後,角度良好

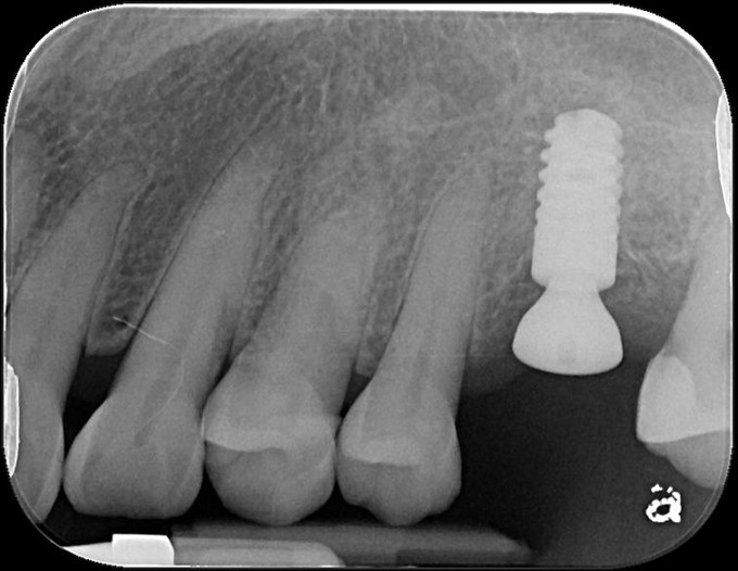
6個月後植牙骨整合

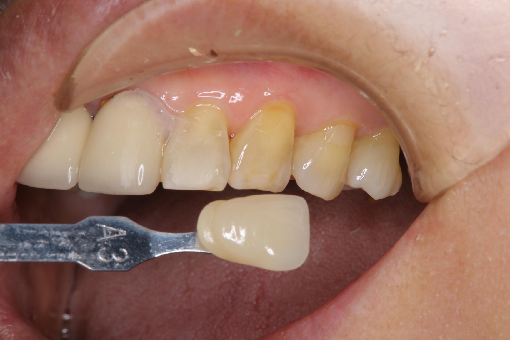
照相比色

面弓轉移,上咬合器

咬合器上製作瓷牙

螺絲固定型假牙

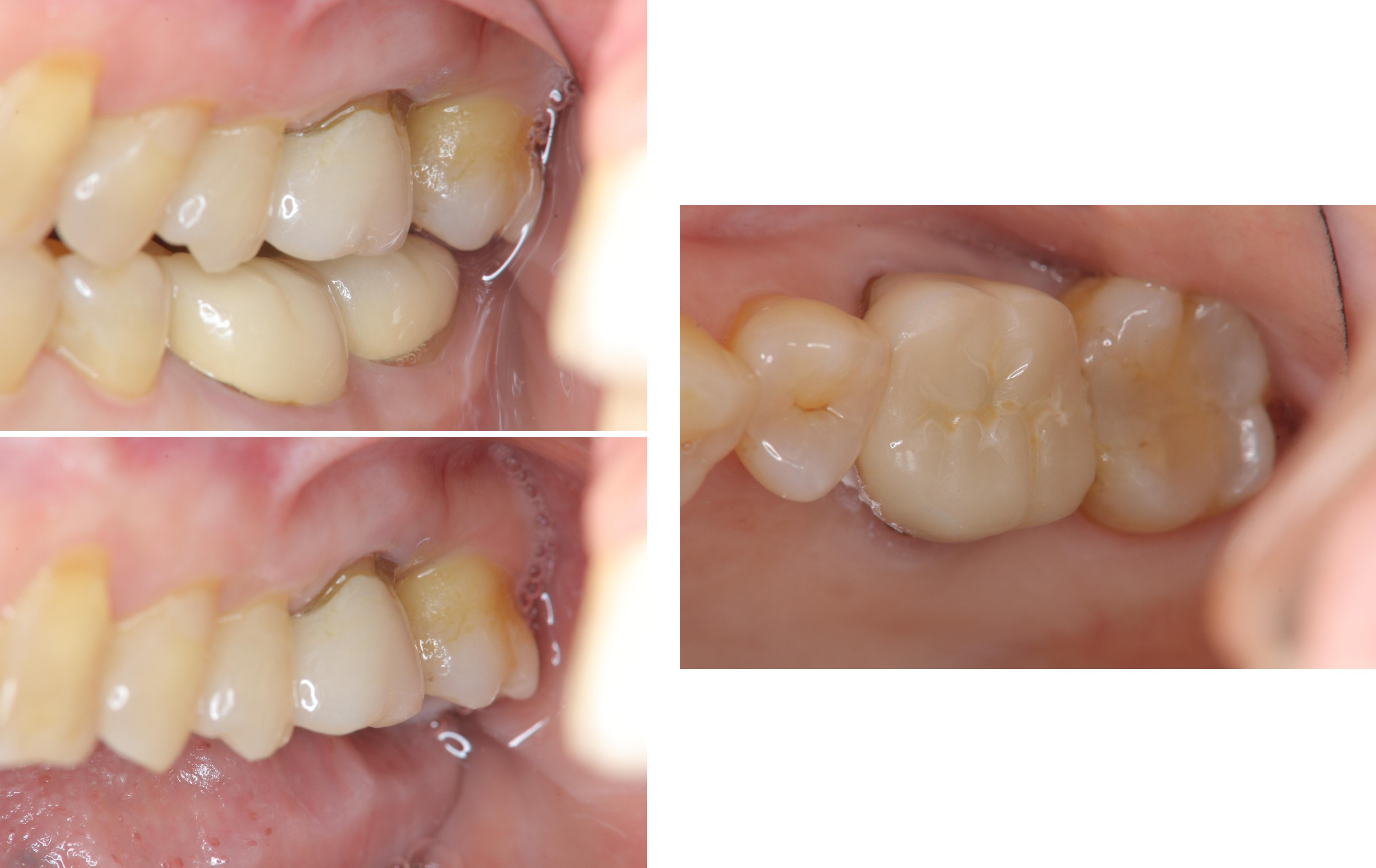
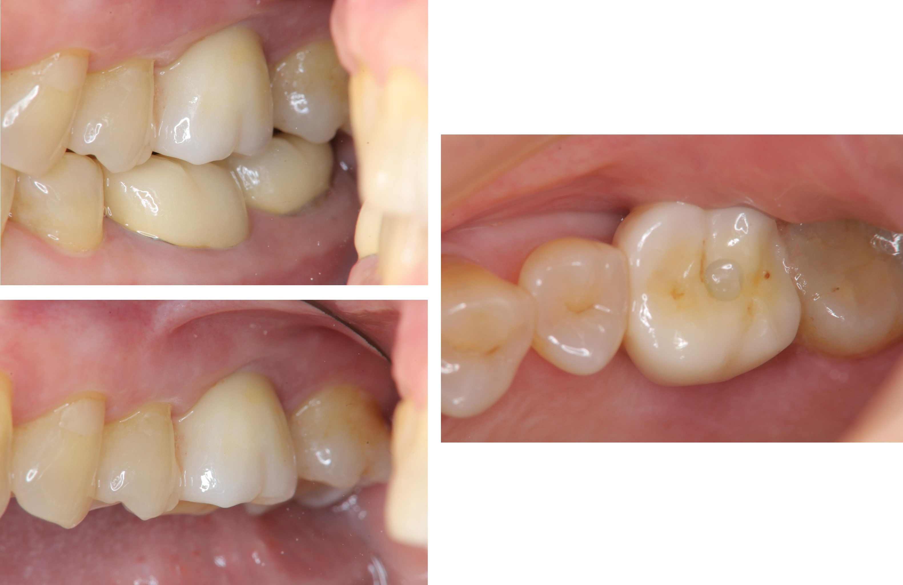
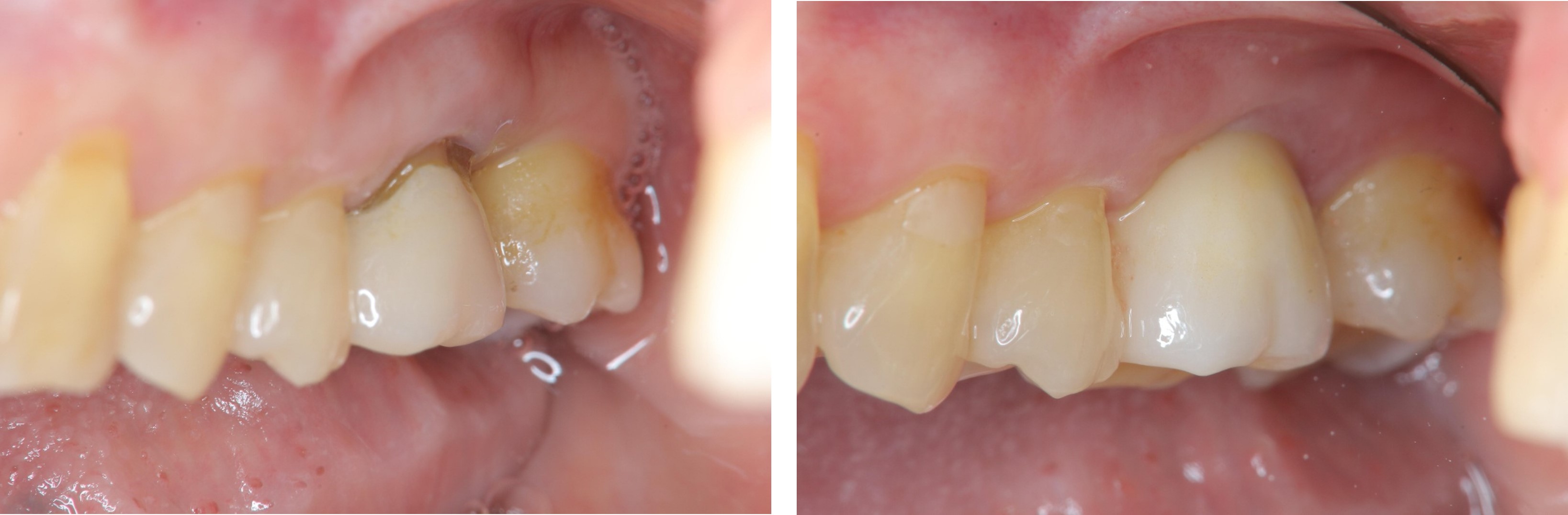
治療後,咬合牙周適應良好

治療後,密合度良好

術前、術後比較

使用單顆植牙,不需修磨正常的牙齒,清潔更方便,且咬合更強。