根管治療後的「瓷塊」,通常是指用於修復和保護脆弱真牙的陶瓷嵌體(3D齒雕)或陶瓷牙冠(全瓷冠)。 其作用是恢復牙齒的結構、功能與美觀,避免因牙齒結構受損而造成的咬裂或進一步損壞,延長牙齒的壽命。
為什麼需要「瓷塊」?
保護脆弱的真牙:
根管治療會移除牙齒的神經,移除牙齒內部的養分與水分,使得牙齒結構變得脆弱,就像戴上安全帽一樣。
防止再次咬裂或損壞:
沒有適當保護的牙齒,在咬合力下容易再次斷裂、崩壞,最終可能導致需要拔牙。
恢復牙齒功能與外觀:
裝上瓷塊後,能恢復牙齒的咀嚼功能,並使牙齒恢復美觀的樣子。
瓷塊的種類與選擇
陶瓷嵌體(3D齒雕):
適用情況:牙齒缺損面積相對不大,希望盡可能保留較多健康齒質的情況。
優點:修磨量較少,保留更多原生齒質,恢復度高,密合度佳。
特點:精準製作、美觀自然,不易吸收色素。
全瓷冠(牙冠):
適用情況:牙齒結構缺損較大,或需要完全包覆、保護牙齒的情況。
優點:提供全面的保護和堅固的支撐。
特點:如同給牙齒戴上完整的安全帽,堅固耐用。
如何選擇適合的「瓷塊」?
醫師會根據牙齒的缺損大小、位置及患者的狀況,評估適合的修復方式是陶瓷嵌體還是全瓷冠。
醫師也會盡可能保留更多的原生齒質,因為健康的牙齒結構越多,越有助於延長牙齒的壽命。

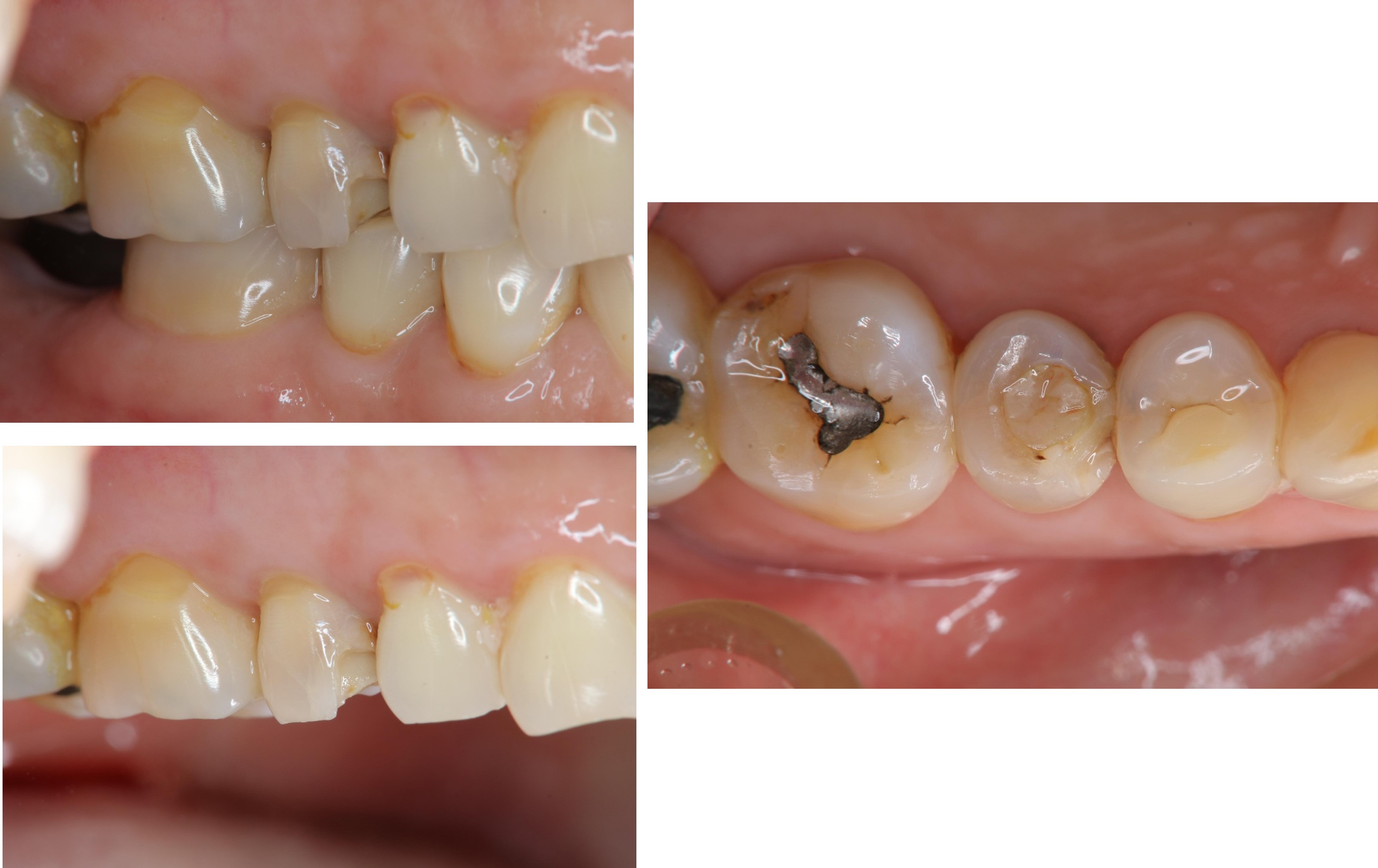
治療前,嚴重二次蛀牙

根管治療後再次牙裂

陶瓷冠塊體製備

印模後,上咬合器

模型製作

陶瓷冠塊體

陶瓷冠塊體口內黏著

治療後口內照

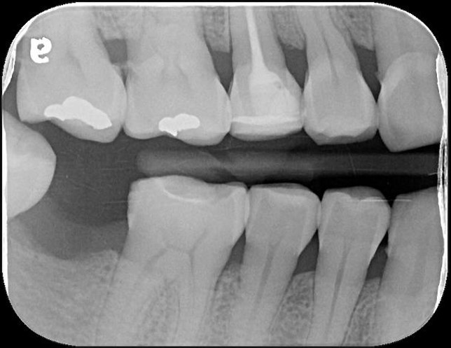
根尖照,邊緣完整

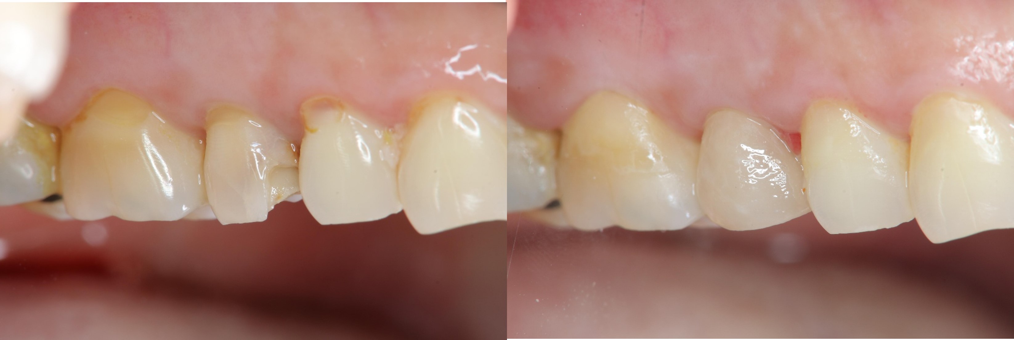
術前、術後比較

當蛀牙破壞程度大,陶瓷冠塊體是根據蛀牙的窩洞量身訂做,不管是顏色、精密度都是最佳的選擇,因此是非常美觀與持久的填補窩洞材料與技術