拔牙後使用膠原蛋白有助於加速傷口癒合、止血、減少疼痛並保護傷口,特別是在拔牙窩較深或有感染風險的情況下。 若日後有植牙規劃,或拔牙後牙床骨高度明顯不足,則需視情況使用「骨粉」,通常會結合骨粉和膠原蛋白一起使用,以維持齒槽骨高度並促進骨再生。 
膠原蛋白的主要功用
促進傷口癒合: 
膠原蛋白能為細胞提供支架,幫助血小板快速凝固,縮短癒合時間。 
止血與減痛: 
協助止血,減少術後出血,並通過穩定傷口區域來減輕疼痛感。 
保護傷口: 
形成保護層,防止食物殘渣等異物進入傷口,降低感染風險。 
維持骨頭高度: 
在拔智齒後,有助於維持齒槽骨高度,減少因骨頭流失而導致的鄰近牙齒敏感或齲齒等問題。 
何時會用到膠原蛋白?
拔智齒後: 
由於智齒拔除後傷口較大且深,放膠原蛋白有助於傷口復原和保護。 
其他拔牙情況: 
若傷口較大、較深,或患者有慢性病、凝血功能不佳等情況,醫師可能會建議使用。 
膠原蛋白與骨粉的區別
膠原蛋白: 
主要用於促進軟組織(傷口)的癒合、止血及提供保護。 
骨粉: 
主要用於硬組織的重建,適合用於需要後續植牙,或是牙床骨量不足、有明顯骨缺損的情況。 
關於費用與選擇
健保不給付: 
膠原蛋白屬於自費項目,是否使用取決於個人需求及醫師建議。 
選擇性考量: 
醫師會根據您的具體情況(如傷口大小、是否需植牙等)來判斷是否需要置入膠原蛋白或骨粉,或兩者皆需。 

 

 

 

 

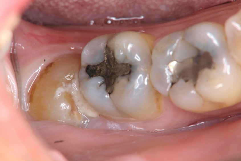
治療前,右下阻生齒造成牙周腫脹

 

 

 

 

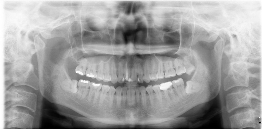
治療前,環口X光,阻生齒

 

 

 

 

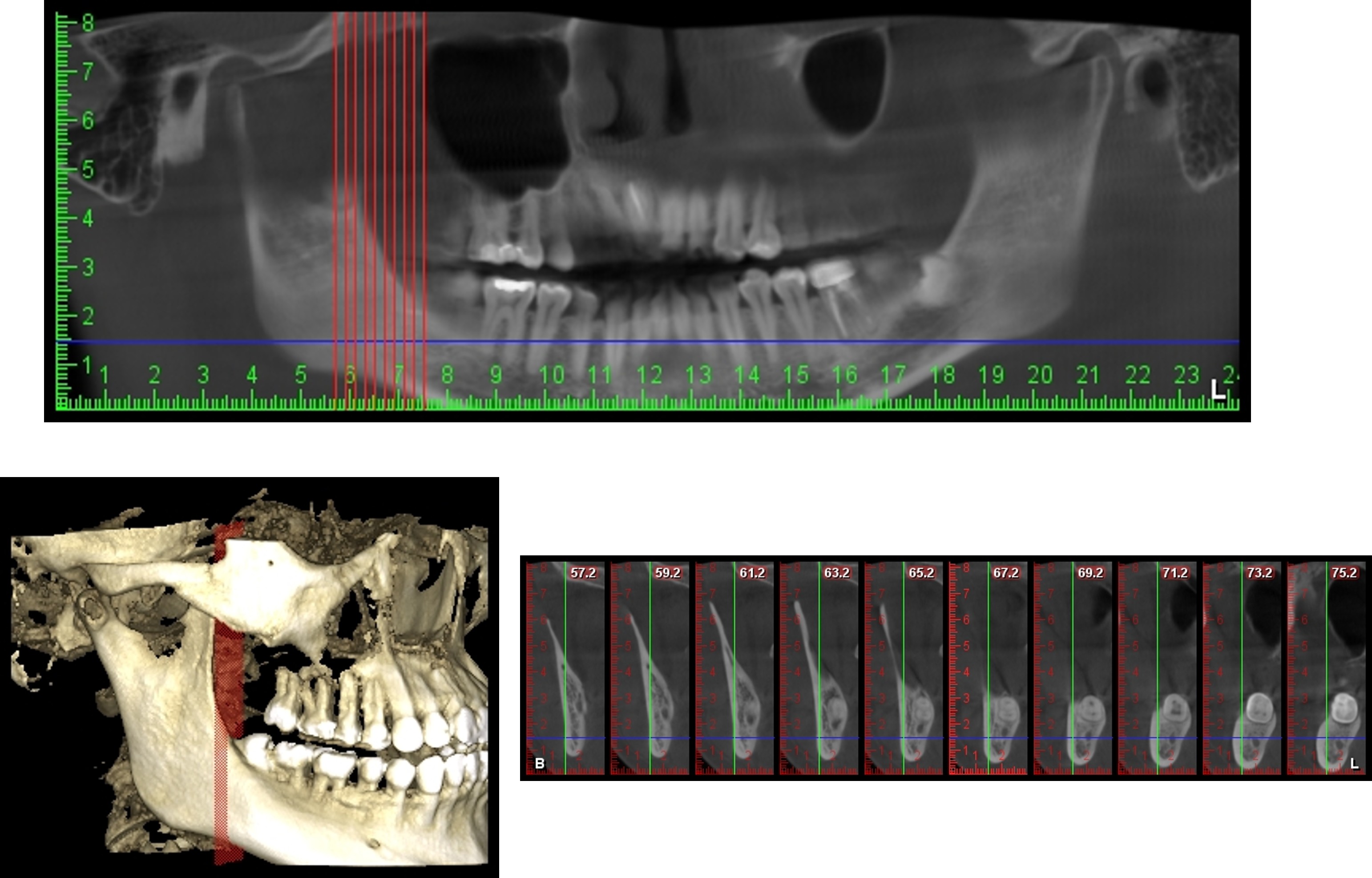
治療前,利用電腦斷層再次定位

 

 

 

 

治療前,利用電腦斷層再次定位

 

 

 

 

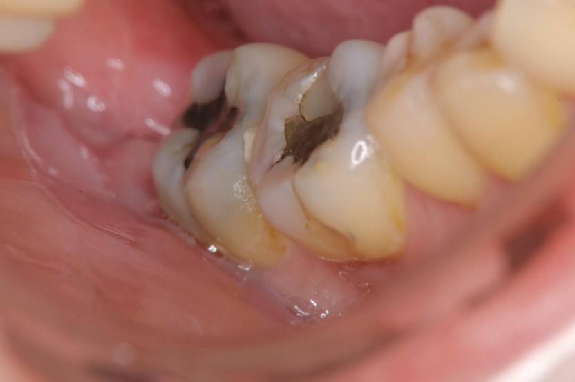
1週後傷口癒合良好

 

 

 

 

術前、術後比較

 

 

使用骨質增生膠原蛋白,來處理拔牙後的傷口。此材料適用的範圍不僅用於拔牙後傷口,所有顎骨中的病灶於手術後皆建議使用。
骨質增生膠原蛋白優點:
1 、止血效果:特殊生物材料,能立即止血,且無血塊脫落之困擾。
2、減痛效果:加速傷口癒合,有效減輕疼痛
3 、預防效果:健全牙周組織,避免鄰近牙齒產生牙周病及乾性齒槽炎