牙髓-牙周-膺復合併症是指牙齒同時出現牙髓病變、牙周病變與修復需求的複雜臨床情況,需跨科整合治療。
這類合併症常見於深度蛀牙或舊修復物失敗導致牙齒結構破壞,進而引發牙髓感染、牙周支持組織受損,以及修復困難。臨床上稱為 EPP(Endo-Perio-Prostho)三合一治療,處理流程通常包括:
●三合一治療的核心步驟
一、顯微根管治療(Endodontics)
清除感染牙髓,重建根管系統。
使用顯微鏡與鎳鈦器械提升精準度與成功率。
二、牙周手術(Periodontics)
進行牙冠增長術(Crown Lengthening)以恢復生物寬度。
可採用水雷射(Er:YAG)進行微創手術,減少術後腫脹與萎縮。
三、贋復重建(Prosthodontics)
製作釘柱與全瓷冠,恢復牙齒功能與美觀。
需評估咬合、鄰牙、對咬牙與美學需求,可能搭配數位微笑設計(DSD)。
●適應症與挑戰
常見於鄰接面蛀牙、牙齦下蛀牙、根管再感染、牙冠斷裂等情況。
治療需多次約診,若整合良好可在單次完成多項處置。
病人需充分溝通與教育,理解治療流程與預後。

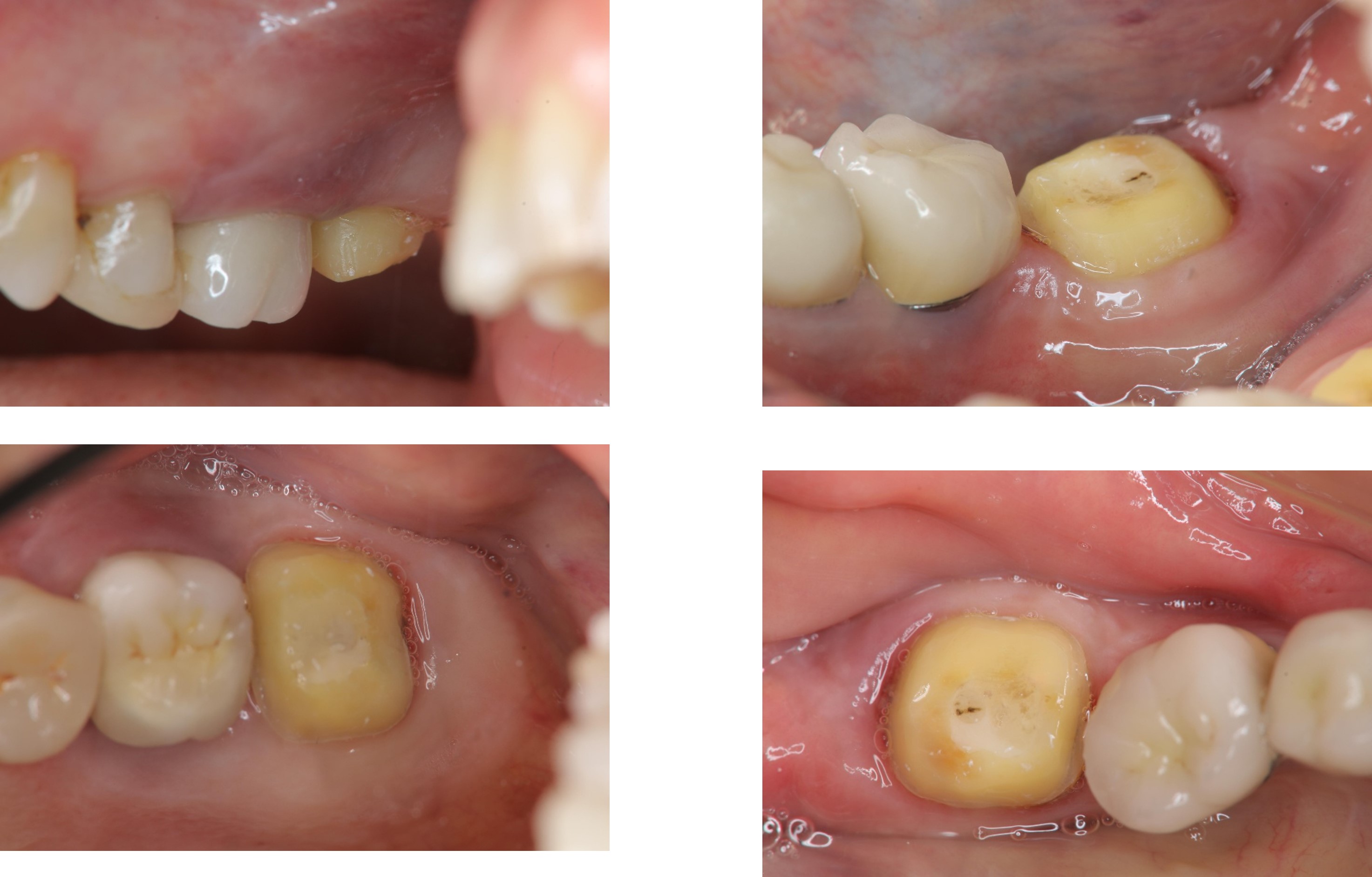
治療前,左上及左下第二大臼齒磨耗

治療前,左上及左下第二大臼齒根管鈣化

顯微根管治療:#37

顯微根管治療:#27

左下顎牙冠增長手術

膺復前評估牙齦、牙齒狀態

上面弓、上咬合器

技師於咬合器製作全瓷冠

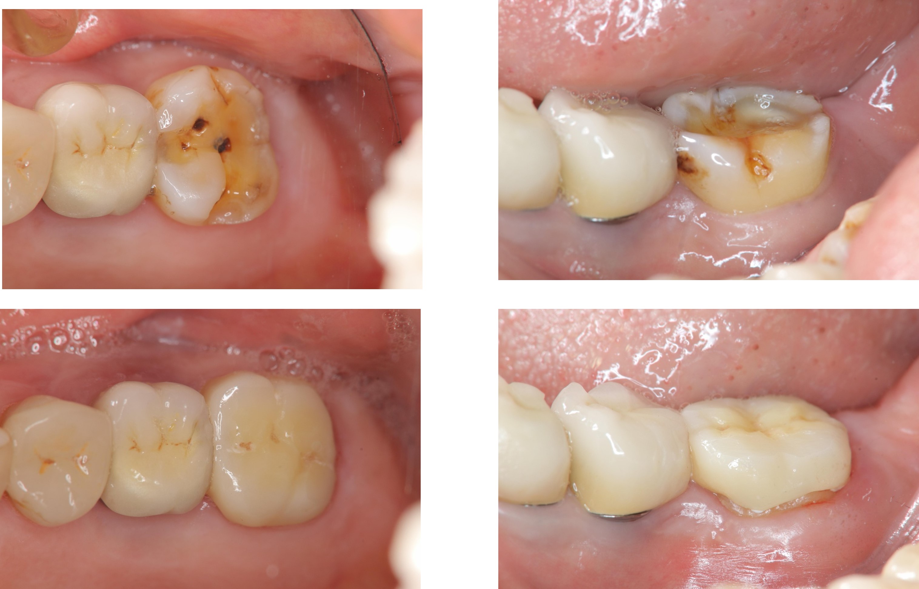
全鋯冠

治療後,牙周咬合良好

治療後,密合度良好

術前、術後比較

幾年下來,這一類連續的治療,長期的癒後相當穩定,因此對於有心保留牙齒的患者,提供了另一個方法,是植牙之外的另一個重要的治療方式。