目前市面上植牙假牙主要分為兩種固定方式,黏膠固定式與螺絲鎖緊式兩大派的設計,黏劑固定式假牙如同傳統的固定式假牙,但由於植體的直徑比較小,比較容有殘膠產生,而螺絲固定式假牙的製作比較精密。制作特在假牙頂部保留一微小快拆孔,日後若假牙需要取下維修或加瓷關閉牙縫減少塞食物,過程輕鬆可免受敲擊之苦。且卸下後可於口外清除溢出之界面殘膠,減少殘膠引起植體周圍發炎的可能,再以螺絲固位的方式輕鬆將假牙鎖回植體牙根上。使用單顆植牙,不需修磨正常的牙齒,清潔更方便,且咬合更強。
本病患嗛為多前有製作過瓷牙、釘柱等治療,但因長期咬硬的食物,導致牙齒斷裂,長胞,經診斷無法保留牙齒,溝通後,患者決定植牙
因此本病例採用術式:
1)骨脊保存術
2)電腦定位手術模板
3)螺絲固位式牙冠
4)全鋯冠

 

 

 

 

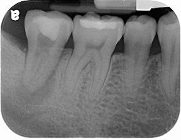
治療前,根管後大臼齒有牙裂

 

 

 

 

治療前,根管後第一大臼齒有牙裂

 

 

 

 

拔牙後進行骨脊保存術

 

 

 

 

植牙前口內評估

 

 

 

 

導航定位器

 

 

 

 

植牙規畫模擬

 

 

 

 

手術模板

 

 

 

 

植牙

 

 

 

 

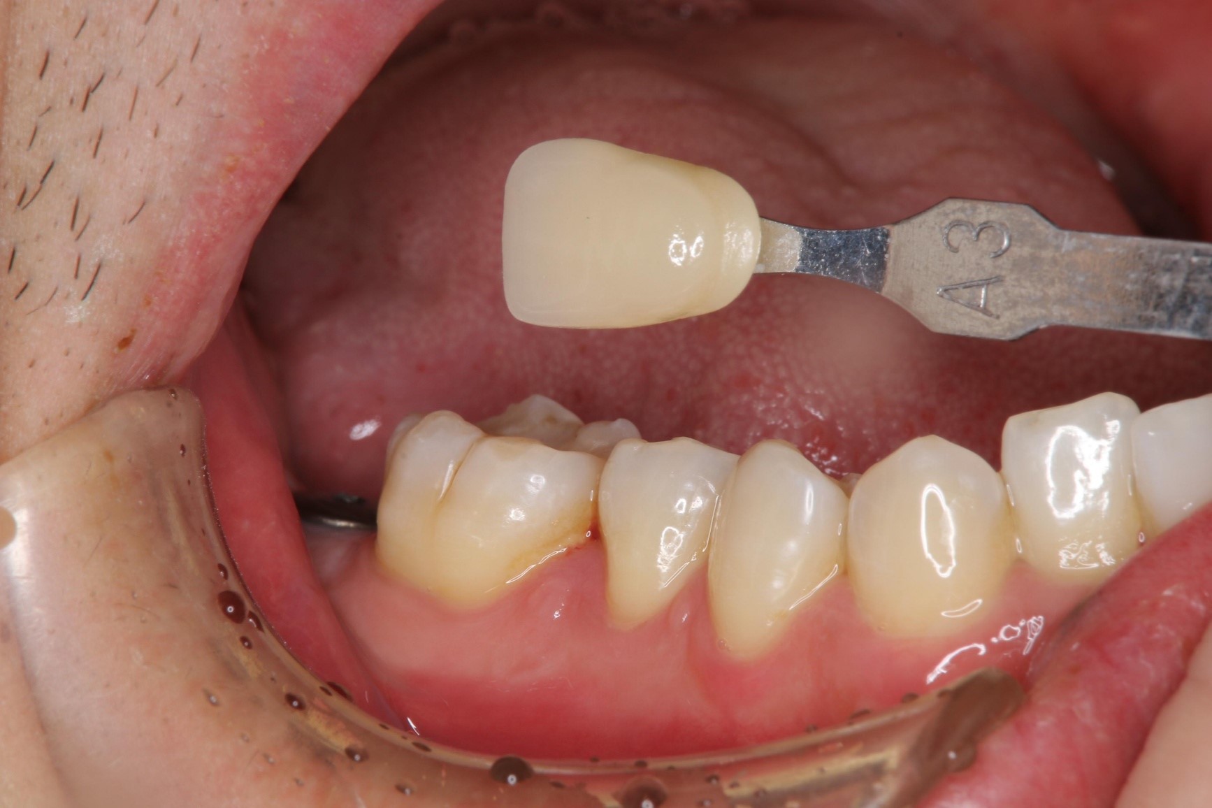
照相比色

 

 

 

 

面弓轉移,上咬合器

 

 

 

 

咬合器上製作瓷牙

 

 

 

 

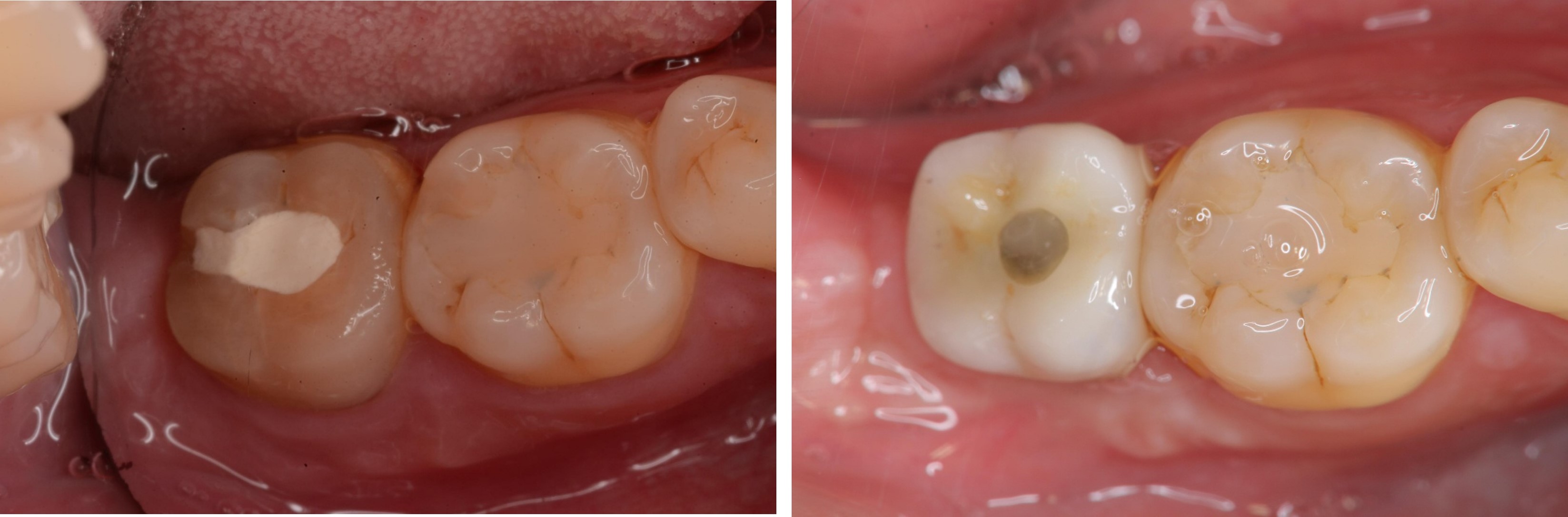
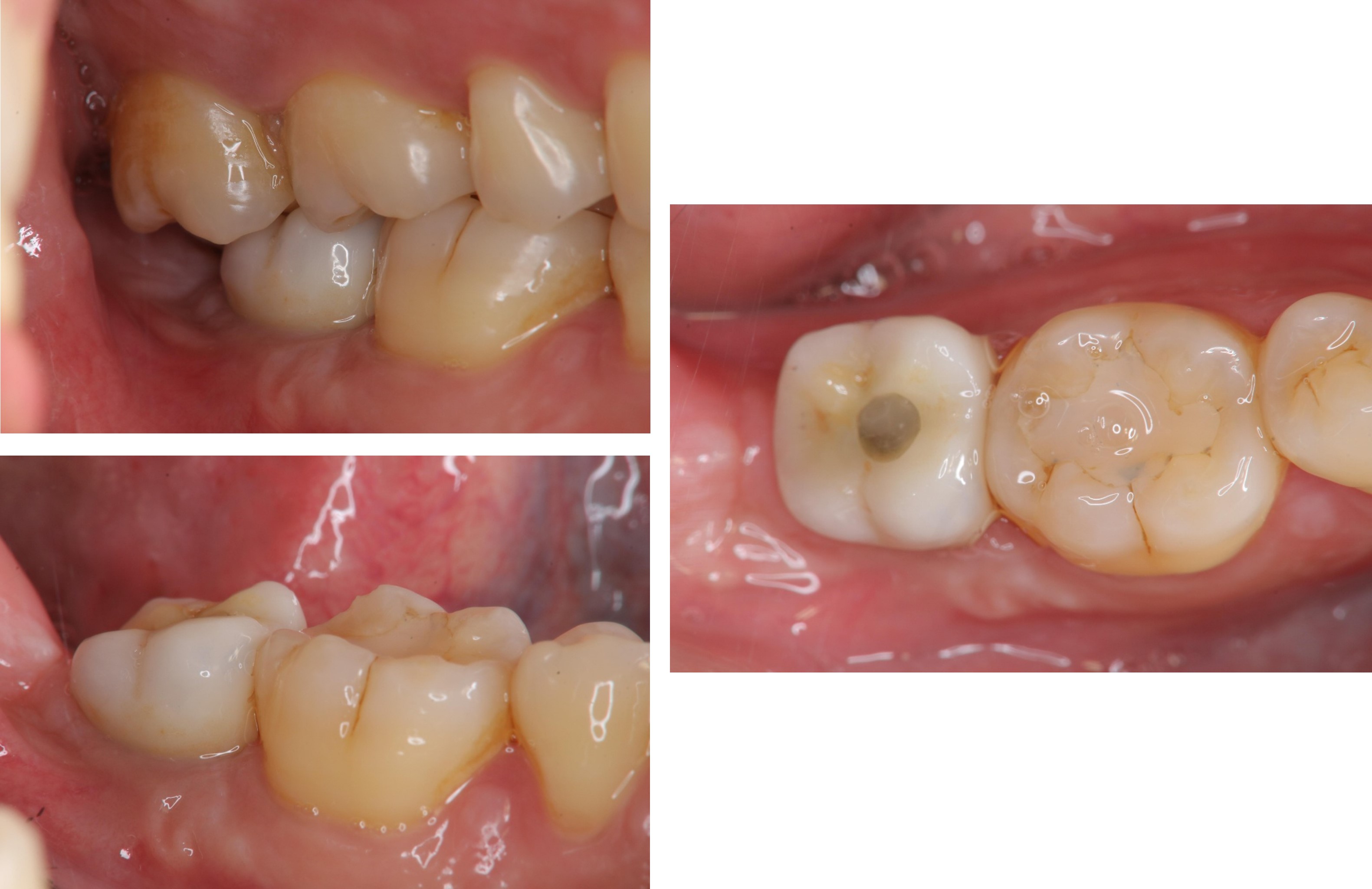
螺絲固定型假牙

 

 

 

 

治療後,咬合牙周適應良好

 

 

 

 

治療後,密合度良好

 

 

 

 

術前、術後比較

 

 

使用單顆植牙,不需修磨正常的牙齒,清潔更方便,且咬合更強。