口腔重建是指重建與恢復口腔的健康及穩定的咬合能力,這其中包括對牙齒、牙周組織、咀嚼肌群、顳顎關節及美觀等做整體性的評估,依評估的結果,以恢復穩定咬合、提昇美觀等目標做整體治療。什麼人需要全口復健?當口內缺牙太多、牙齒咬合高度喪失,導致咬合不穩定,或是牙周病很嚴重,導致齒槽骨的破壞、咬合崩塌,這些情況必須全口重新建立上下支撐,恢復穩定的咬合關係。穩定的咬合關係,必須仔細考量中心咬合位及中心關係,如果兩者關係不安定(>0.5-1 mm)就容易造成顳額關節適應性障礙,如頭頸部疼痛、下巴張不開或易脫滑、顳顎關節卡卡聲等。所以要達到口腔重建的目標,我們必須了解求診者的主訴,醫師蒐集臨床上的口內外相片、X光、牙齒、牙周、顎關節肌肉、美觀等檢查資料,和各科醫師群做綜合診斷整體治療之計畫分析、評估、治療方案等考量形成治療計畫,再與患者做充分的溝通,在專任管理師協助流程控管,才可能達到最穩定理想的治療結果。
咬合穩定度分析,是評估咬合支撐、運動是否有甘擾,才能了解未來的計畫擬定。

治療前上下顎因口外手術,造成咬合喪失

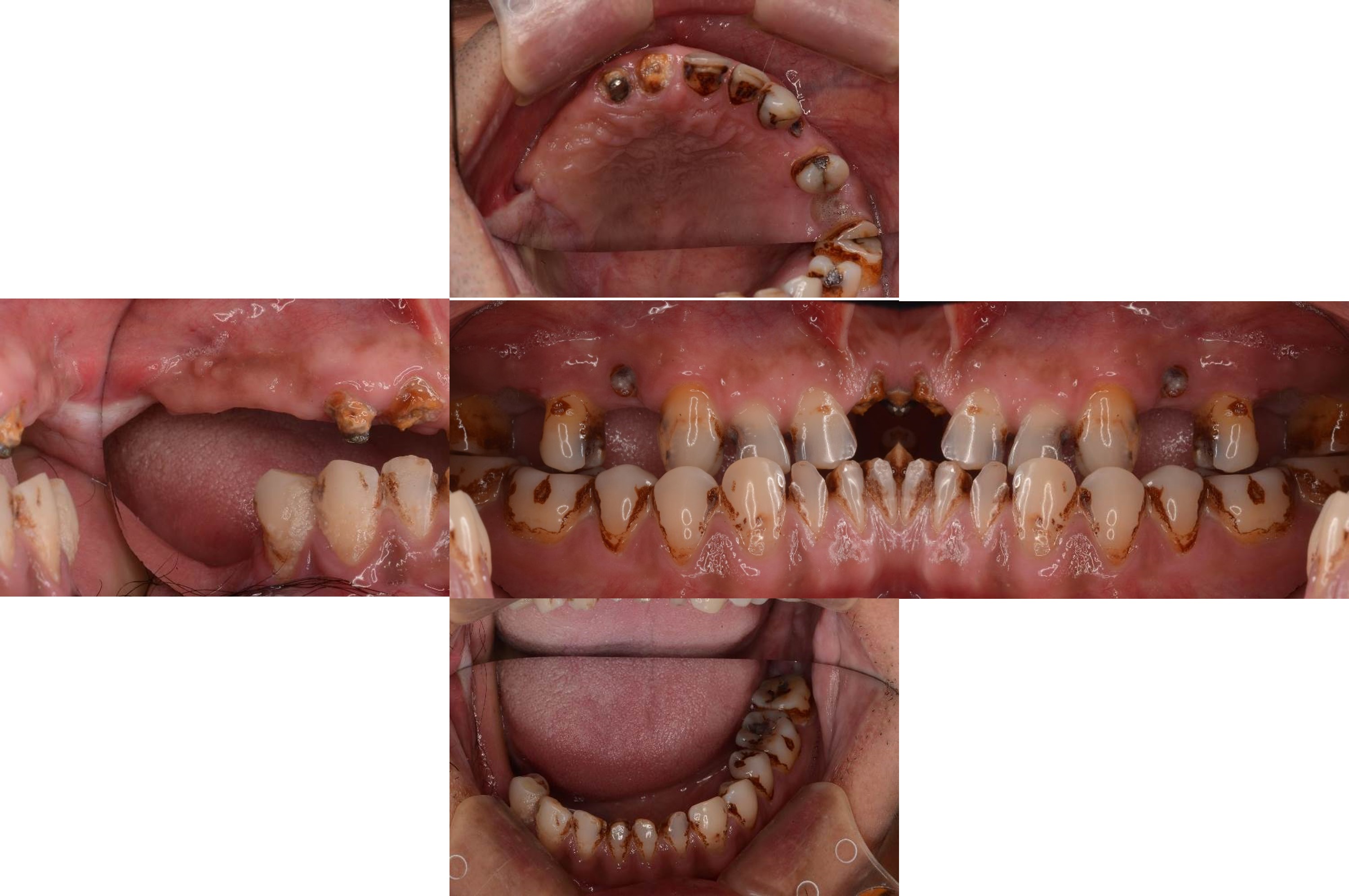
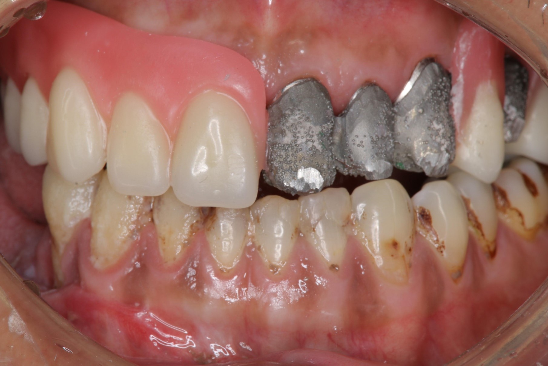
治療前,咬合喪失,磨耗

口外分析診斷,口外手術造成臉不對稱

治療前,殘根與牙周支撐不良

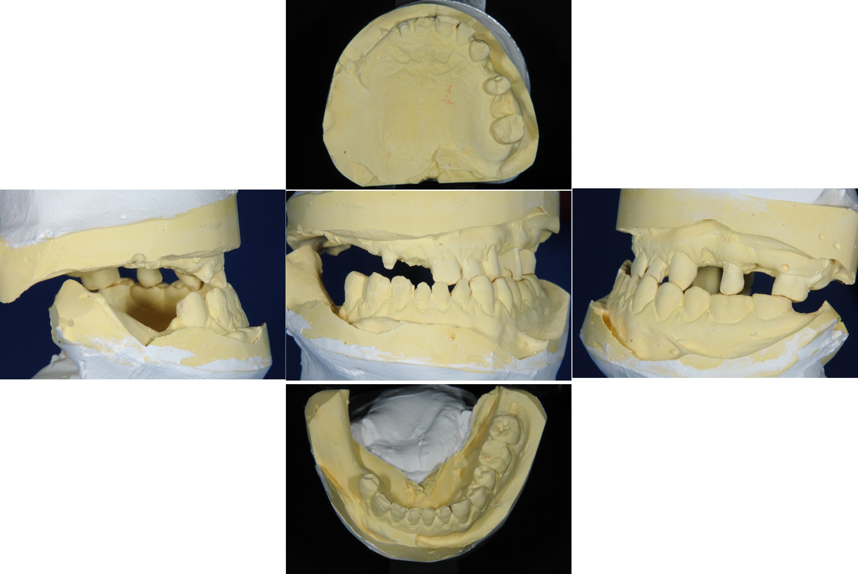
上下顎初步印模

模型咬合分析

蠟型模擬最終可能成果

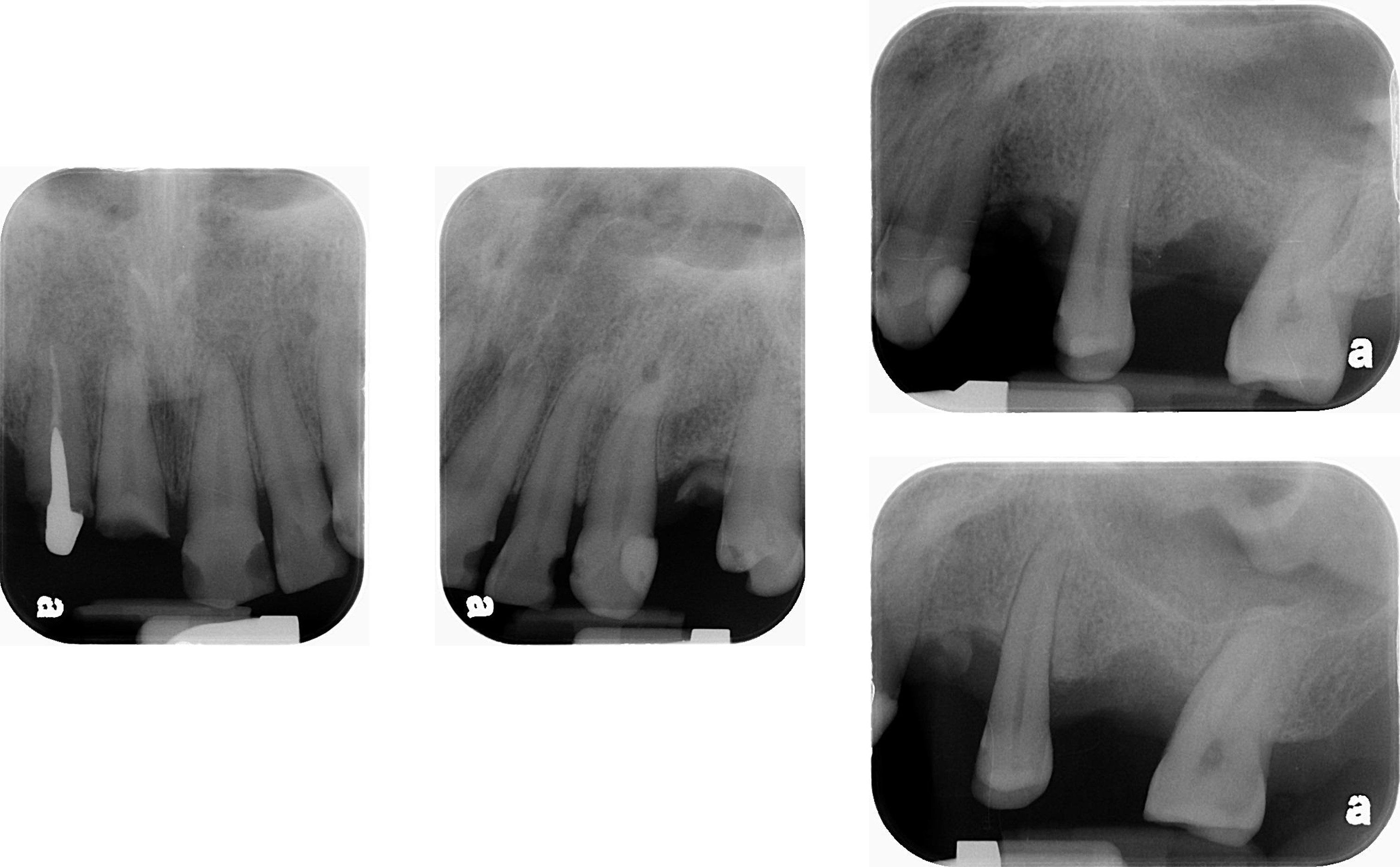
上顎牙齒根管治療

移除舊釘柱

膺復前評估

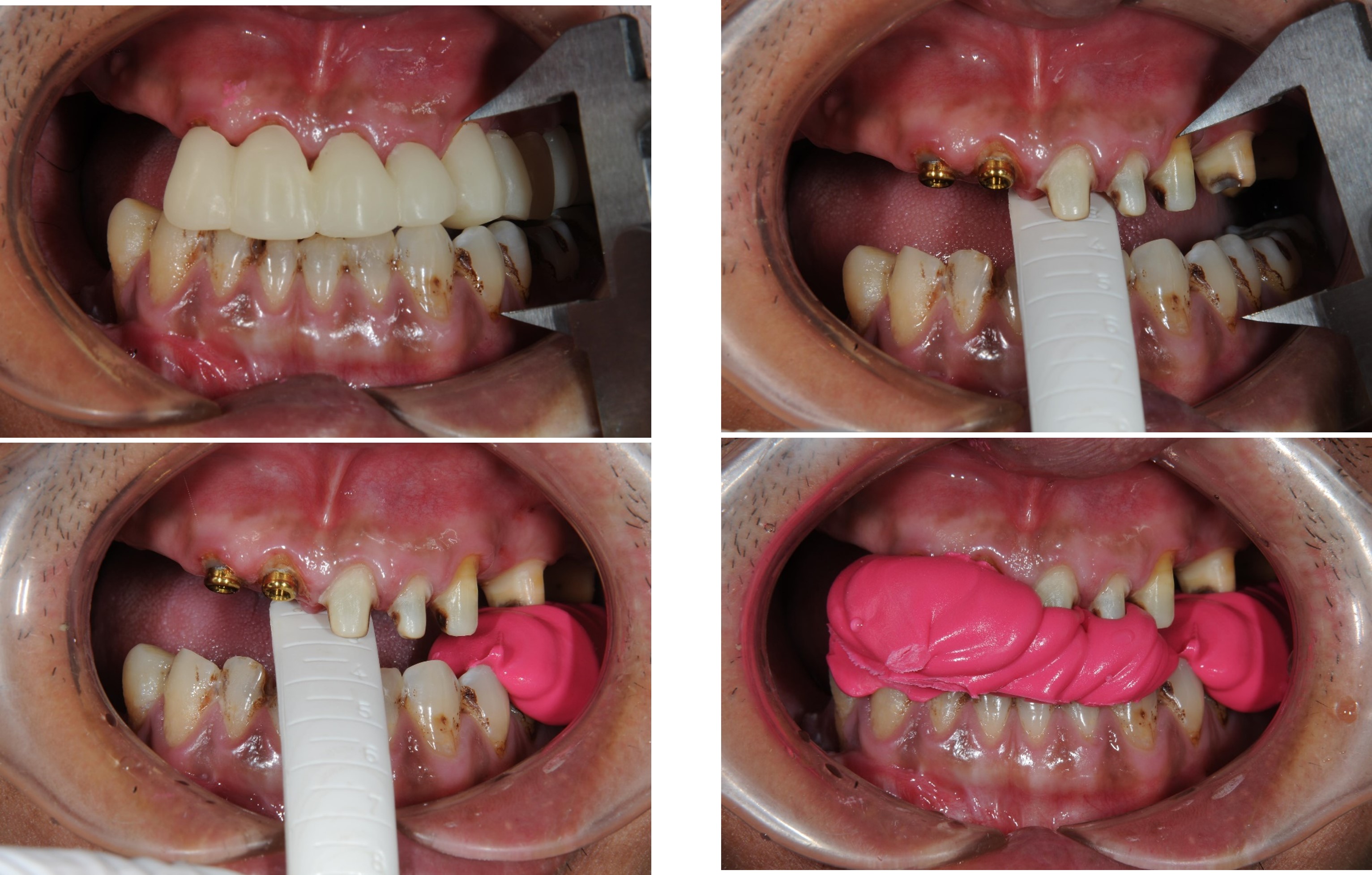
上顎內外冠印模

咬合記錄

上咬合器

上顎支柱牙

內外冠及活動假牙

內冠套件

蠟牙製作
組合後外冠及活假牙套件

外冠及活動假牙套件

活動假牙套件

正式假牙完成
口內外冠與活動假牙定位

初步活動假牙

口內試戴

上下顎二階手術
繼續咬合器製作

內外冠及活動假牙

內外冠支撐活動假牙

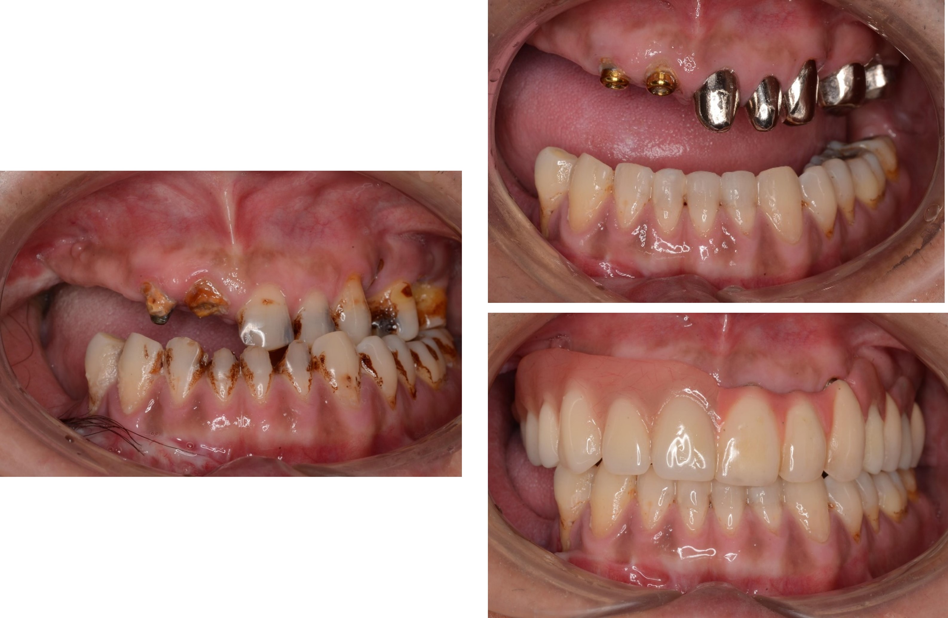
內冠及定位器口內照

覆蓋型活動假牙
活動假牙口內照

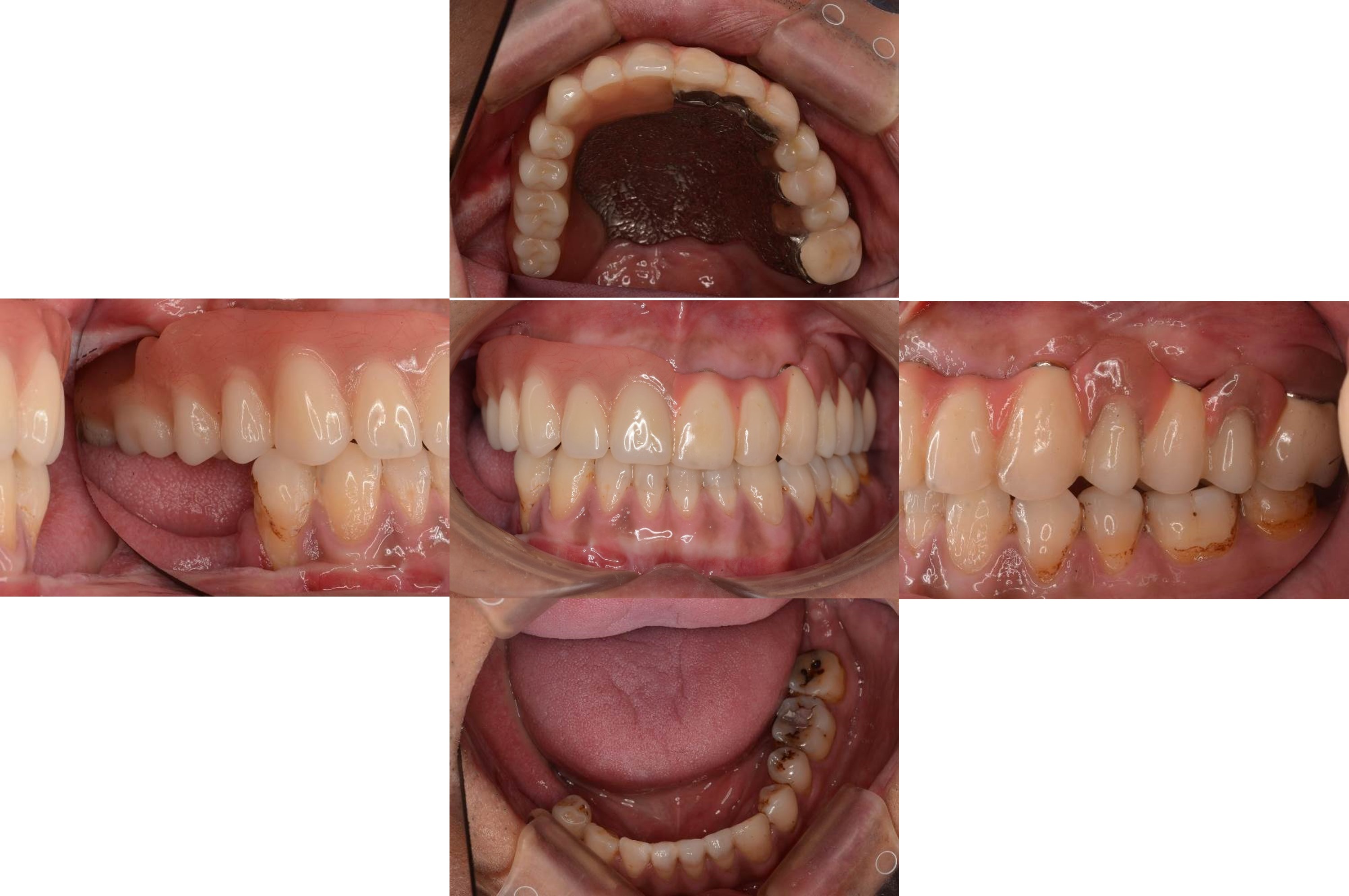
理想咬合支撐

口外支撐性良好

微笑時外形自然

術後X光片

術前、術後比較

透過定位器與內外冠的輔助,活動假牙更穩定,咬合功能更理想。