通常患者的蛀牙都在鄰接面、牙齦下,因此根管治療、牙冠增長手術、假牙復形,成了必要的治療,因此稱之為牙髓/膺復合併性治療,
這些治療共包含了:
1)顯微根管治療
2)水雷射牙冠增長手術
3)玻璃纖維釘柱復形
4)一體成型二氧化鋯全瓷冠
幾年下來,這一類連續的治療,長期的癒後相當穩定,因此對於有心保留牙齒的患者,提供了另一個方法,是植牙之外的另一個重要的治療方式。

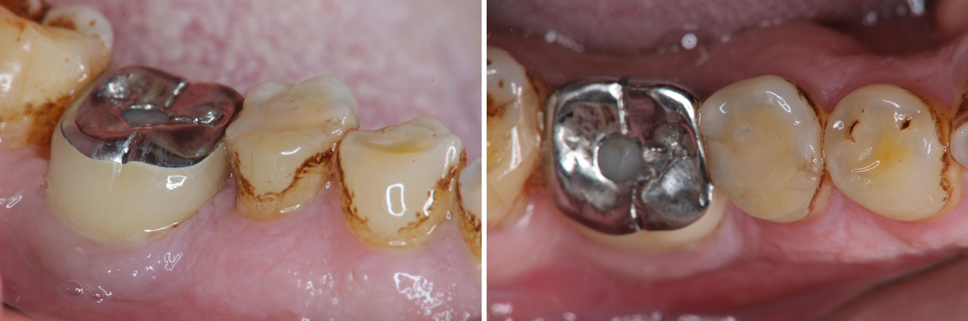
治療前#45蛀牙至牙髓

磨損與蛀牙,塞食物

顯微根管治療

製作玻璃纖維釘

半調節咬合器上製作膺復物

咬合器上製作製作固定膺復物

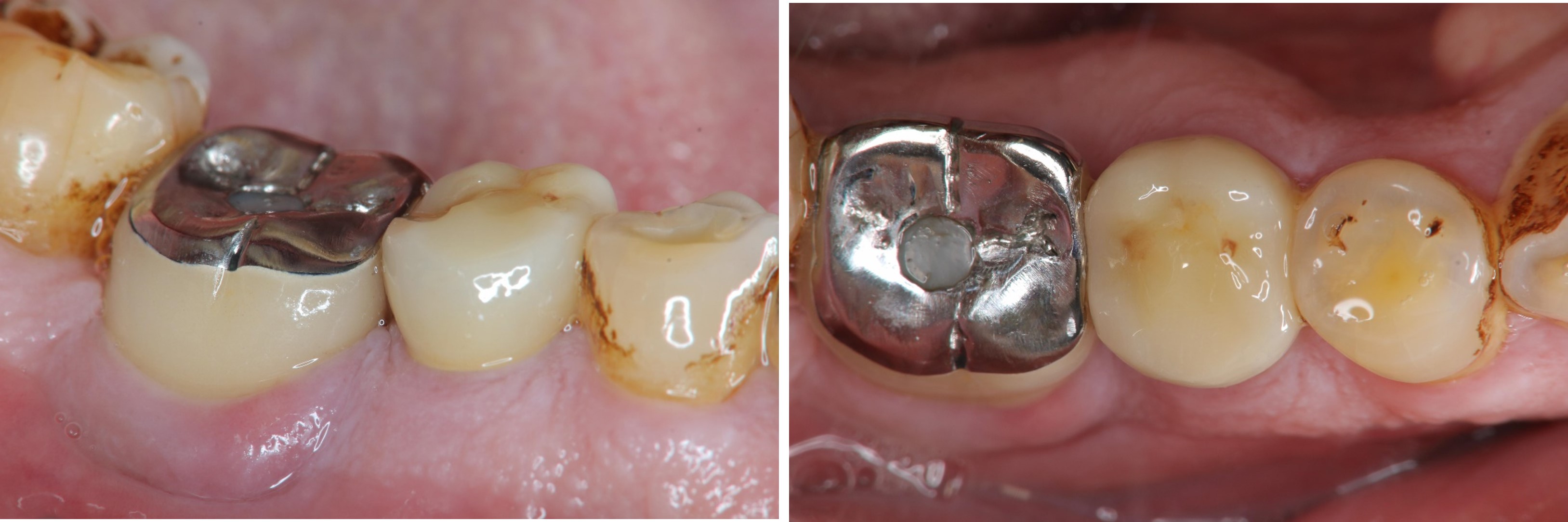
一體成型二氧化鋯全瓷冠

治療後口內照

患者的咀嚼機能逐漸恢復正常
治療後根尖照

透過牙冠修復受損結構,患者逐漸適應
術前、術後比較

幾年下來,這一類連續的治療,長期的癒後相當穩定,因此對於有心保留牙齒的患者,提供了另一個方法,是植牙之外的另一個重要的治療方式。