齒槽骨在牙齒拔除後的兩到三年,會面臨 40%-60%的萎縮,之後還會有每年 0.5%-1%後續的骨喪失,因此,一旦缺牙後若沒有儘快處理,患者日後將面臨齒槽骨萎縮引起的義齒製作困難及美觀問題。
使用骨質增生膠原蛋白,來處理拔牙後的傷口。此材料適用的範圍不僅用於拔牙後傷口,所有顎骨中的病灶於手術後皆建議使用。
牙科專用的3D電腦斷層攝影;與傳統醫療電腦斷層相比較,輻射劑量只有一般電腦斷層的1/50;切片厚度一般醫療電腦斷層是2.0公厘,牙科3D電腦斷層則只有0.1公厘,就診當天馬上拍攝電腦斷層,馬上獲得立體影像。 
因此在拔牙後的傷口如果可合併骨原修復傷口,對傷口癒合,有相當的幫助。

 

 

 

 

治療前,左上阻生齒深度蛀牙

 

 

 

 

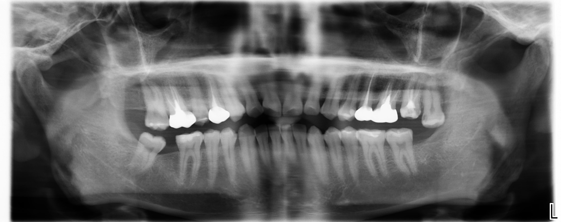
治療前,環口X光,深度蛀牙

 

 

 

 

微創拔除阻生齒,骨膠原修復並縫合

 

 

 

 

1週後傷口癒合良好

 

 

 

 

術前、術後比較


 

使用骨質增生膠原蛋白,來處理拔牙後的傷口。此材料適用的範圍不僅用於拔牙後傷口,所有顎骨中的病灶於手術後皆建議使用。
骨質增生膠原蛋白優點:
1 、止血效果:特殊生物材料,能立即止血,且無血塊脫落之困擾。
2、減痛效果:加速傷口癒合,有效減輕疼痛
3 、預防效果:健全牙周組織,避免鄰近牙齒產生牙周病及乾性齒槽炎