牙周病非手術檢查包含完整的口腔檢查、牙周囊袋探測、X光片拍攝,以評估病況嚴重度。 非手術治療則以牙周基礎治療為主,使用超音波或手動刮刀清除牙結石與牙菌斑,並進行牙根整平術,同時會衛教患者正確的口腔清潔方式,例如使用牙間刷和牙線,以改善牙周組織發炎的狀況。
非手術檢查
完整口腔檢查與紀錄:
醫師會進行全口檢查,記錄牙周囊袋深度、牙齦發炎程度、牙齒鬆動狀況等。
牙周囊袋深度探測:
使用牙周探針深入牙周囊袋,測量囊袋深度,評估牙周病嚴重程度與後續治療方向。
X光片拍攝:
拍攝全口根尖片X光片,了解牙周骨骼結構的破壞程度。
口腔衛生指導:
指導患者正確刷牙、使用牙線、牙間刷等工具,建立良好的日常口腔清潔習慣。
非手術治療
牙結石清除與牙根整平術:
超音波洗牙機:: 利用超音波震動震碎牙結石。
牙周刮刀:: 利用手持式刮刀深入牙周囊袋,刮除牙根表面的牙結石與受感染的牙菌斑、發炎組織。
抗生素藥物:
有時會搭配抗生素凝膠或藥膏,加強殺菌效果。
水雷射應用:
部分診所會結合水雷射技術,溫和無痛地深度清潔牙齦下的發炎組織,同時具備殺菌和止血效果。
再評估:
完成基礎治療後,約數週到一兩個月後會進行再評估,確認牙周囊袋深度和牙齦發炎程度是否改善,判斷是否需要進一步的手術治療。
重要事項
非手術治療後可能暫時出現牙齦消腫、牙縫變大,以及牙齒對冷熱敏感度增加,這些是牙周組織恢復健康的正常過程。
治療期間和日後維護極度仰賴患者的配合,務必維持良好的口腔清潔習慣,並定期回診接受牙周保養。
非手術治療後,若牙周囊袋深度仍超過5mm,或未達到預期效果,則需考慮進入第二階段的手術治療。

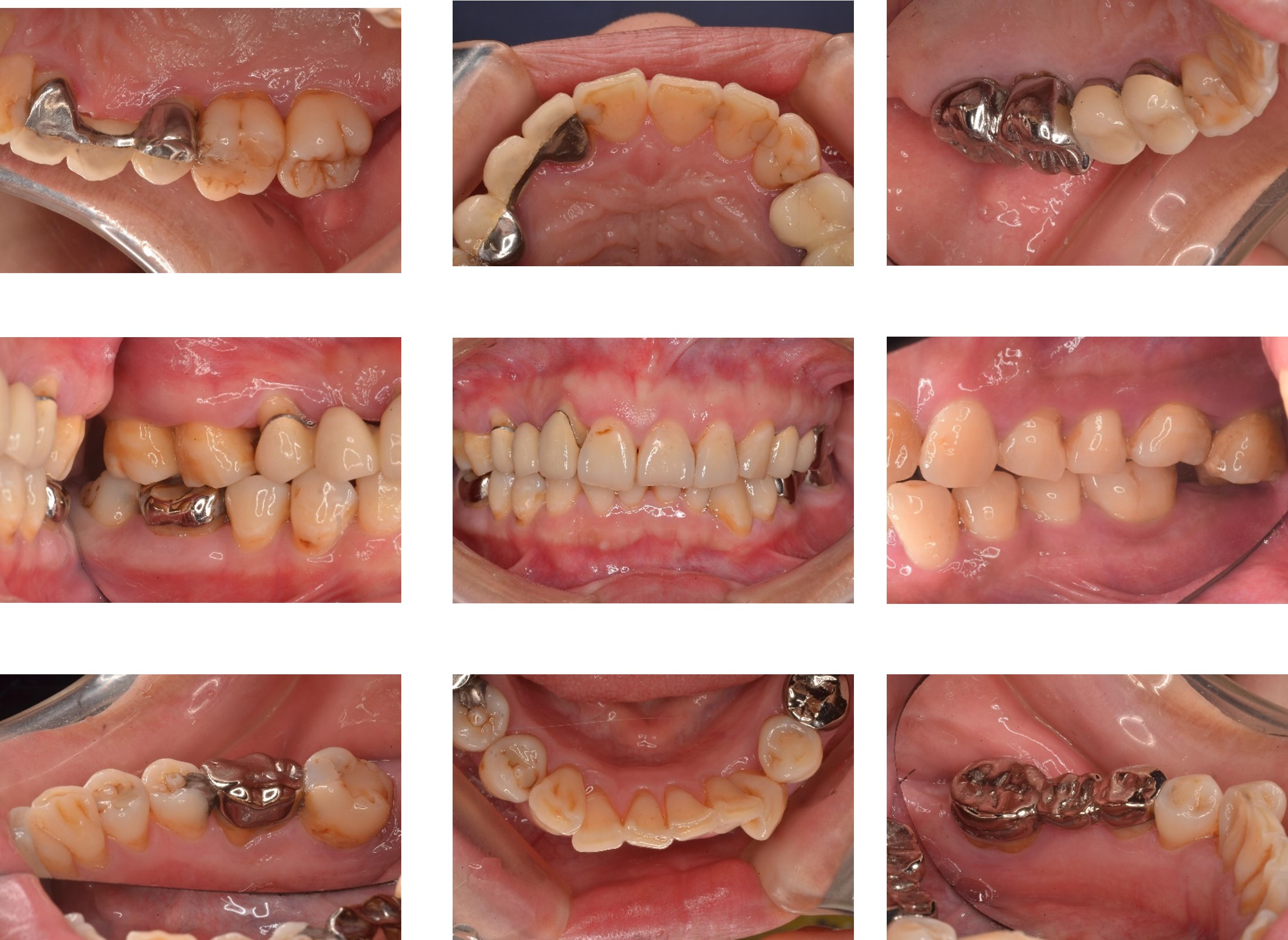
牙周檢查-相片

牙周檢查-X光

牙周檢查-牙周記錄

牙周檢查-牙菌斑檢查

牙周檢查-危險因子評估

口腔衛教-牙刷、牙線、牙間刷

深層牙周刮除

齦下噴砂

藥物控制治療

術前術後再評估後續治療

後續重建治療

完成基礎治療後,約數週到一兩個月後會進行再評估,確認牙周囊袋深度和牙齦發炎程度是否改善,判斷是否需要進一步的手術治療。