口腔重建分析-蠟型的用途

口腔重建是指重建與恢復口腔的健康及穩定的咬合能力,這其中包括對牙齒、牙周組織、咀嚼肌群、顳顎關節及美觀等做整體性的評估,依評估的結果,以恢復穩定咬合、提昇美觀等目標做整體治療。什麼人需要全口復健?當口內缺牙太多、牙齒咬合高度喪失,導致咬合不穩定,或是牙周病很嚴重,導致齒槽骨的破壞、咬合崩塌,這些情況必須全口重新建立上下支撐,恢復穩定的咬合關係。穩定的咬合關係,必須仔細考量中心咬合位及中心關係,如果兩者關係不安定(>0.5-1 mm)就容易造成顳額關節適應性障礙,如頭頸部疼痛、下巴張不開或易脫滑、顳顎關節卡卡聲等。所以要達到口腔重建的目標,我們必須了解求診者的主訴,醫師蒐集臨床上的口內外相片、X光、牙齒、牙周、顎關節肌肉、美觀等檢查資料,和各科醫師群做綜合診斷整體治療之計畫分析、評估、治療方案等考量形成治療計畫,再與患者做充分的溝通,在專任管理師協助流程控管,才可能達到最穩定理想的治療結果。
3D設計:咬合與顏面美學

蠟型其實是三度空間設計咬合與顏面美學的重要前哨站
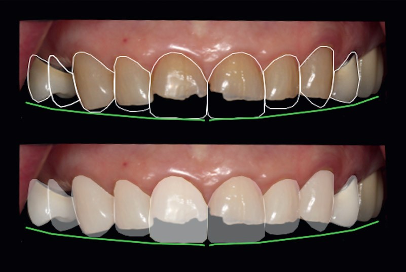
美學攝影與分析

美學攝影與分析,了解以顏面為基礎的口腔重建設計
兩組咬合模型

兩組咬合模型,一組為原始模型,一組為蠟型設計
蠟型:由下顎往上顎

蠟型:由下顎往上顎,下顎主要與咬合有關,上顎與美學有主要關連
臨時假牙模擬

臨時假牙臨床模擬,讓患者未來的最終結果
全口臨時假牙:由上顎往下顎

由上顎往下顎修與製作,爾後才進入口腔重建的矯正期