牙脊增厚術是指利用軟組織移植術(如游離牙齦移植術)來增加缺牙區的齒槽骨寬度和厚度,或增厚牙齦。這能為橋體區改善外觀與清潔便利性。
游離牙齦移植術(軟組織增厚)
目的: 增加牙齦的厚度和寬度,特別是角化牙齦的寬度。
方法: 從上顎等部位取自體牙齦組織,移植到植牙周圍區域。
適用時機: 橋體區的牙齦太薄或角化牙齦不足,以確保假牙周圍的清潔和長期穩定。
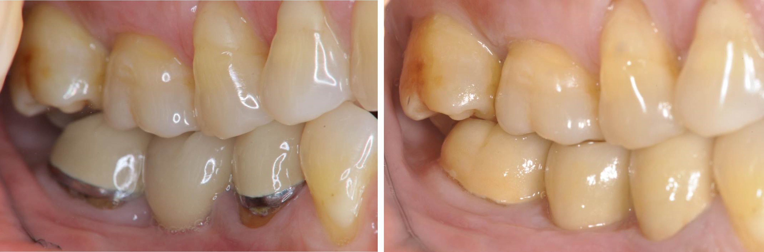
全瓷冠是一種由全陶瓷材料製成的全口牙冠,不含金屬成分。其優點是美觀自然、透光度高,外觀極為逼真,且能避免金屬過敏、牙齦染色等問題。全瓷冠同時具有高強度和良好的生物相容性,能有效保護受損的牙齒。

橋體區牙脊塌陷

取皮下組織移植體植入

縫合與敷料覆蓋

牙脊恢復正常厚度(仍依患者條件而定)

玻璃陶瓷與二氧化鋯

全瓷材料有玻璃陶瓷與二氧化鋯等兩種
玻璃陶瓷-瓷錠-高溫融合

玻璃陶瓷的兩種製程一:玻璃陶瓷-瓷錠-高溫融合
玻璃陶瓷-瓷塊-CNC切割

玻璃陶瓷的兩種製程二:玻璃陶瓷-瓷塊-CNC切割
超硬陶瓷-二氧化鋯

另一種為超硬陶瓷-二氧化鋯
超硬陶瓷-二氧化鋯-瓷化

超硬陶瓷-二氧化鋯-瓷化,可加強強度
不同材質選擇與比較

全瓷冠的顏色、透光度都與真牙非常接近,能完美融合於現有牙齒,不易被察覺是假牙。
臨床案例

透剮牙脊增厚,再重做新的全瓷牙橋,假牙外形更美觀,也更容易清潔。